Nichtanlage von seitlichen Schneidezähnen
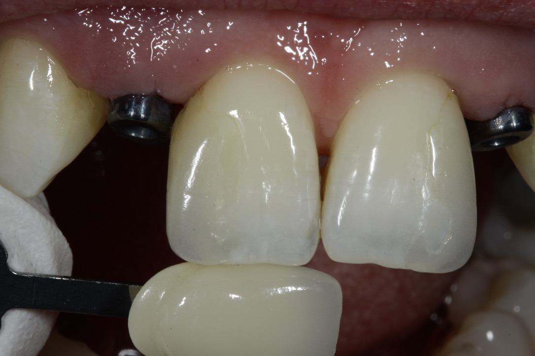
fremdgefertigte Marylandbrücken, Entfernung der Brückenglieder, Implantation Prof. Dr. Dohm, Ludwigshafen,…
fremdgefertigte Marylandbrücken, Entfernung der Brückenglieder, Implantation Prof. Dr. Dohm, Ludwigshafen,…
Inhouse hergestellte Modellgußarbeiten von ZT Sabrina Schmitt, support ZTM Klaus…
hergestellt mittels Funktionsabformung der vorhandenen Prothesen, FAL, ZT Sabrina Schmitt
Umlauffräsung , regulierbare Friktion, labial verblendet, ZTM Norbert Kersten
Aussparung bei Implantat-Innenteleskop für homogenen Guß, mit Composite verfüllt, Latexisolation…
Teleskoparbeit mit NEM Plus, konzipiert für kleinere Teleskopeinheiten, akzeptabler Randspalt,…
Einige Fallbeispiele aus dem Zahntechnischen Laboratorium finden Sie bereits jetzt…
Willkommen auf den neuen Webseiten von Zahntechnisches Laboratorium Harald Göbel…